
아침에 일어나서 느끼는 불쾌한 냄새, 바로 입냄새! 입냄새네요.
어떤 날은 좋지만 또 어떤 날은 스스로 느낄 정도로 심한 입냄새가 나기도 합니다.
위가 이상한가? 대부분 내장기관에서 나는 냄새라고 생각하고 장이나 위가 안 좋은지 걱정이 됩니다.
이번에는 아침 구취의 원인 구취가 나는 증상과 편도선 이야기를 해보려고 합니다.

우리가 평소에 입냄새가 심할 경우 위장관 질환을 의심하기도 하는데 사실 가장 큰 부분은 구강 내 문제입니다.
구강호흡의 여러 원인으로 인해 수면하는 코로 숨을 쉬지 않고 입으로 숨을 쉬게 되면 입안에 침이 마르기 시작하여 건조해집니다.
이때 세균 번식이 강해져서 자고 일어나서 입 냄새가 심해지는 것입니다.

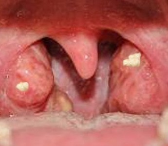
- 편도결석, 후두염, 부비강염, 기관지확장증 등의 호흡기질환 – 충치, 치아플라크, 치주염, 구강건조증 – 심리적 불안 – 위식도역류, 간질환, 신장질환
- 구강 호흡의 원인
- 선천적인 구강 구조 문제, 코콜, 알레르기 비염, 수면 무호흡, 아데노이드 비대증 등이 있습니다.
결국은 코로 숨을 쉬어야 하는데 코 이상이나 구강 이상으로 인해서 입으로 숨을 쉬면서 생기는 문제입니다.
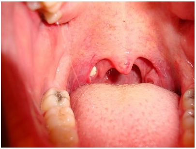
그러나 대부분은 편도결석에 의한 입냄새로 스트레스를 받고 있습니다.
따라서 이 원인을 해결할 수 있는 방법 중의 하나가 치약입니다.
이번에는 제가 사용하게 된 평림치즈치약을 소개해 드리도록 하겠습니다.이건 좋은 리뷰가 많아서 바로 믿음이 갔어요.
이 제품 속에는 편림 오일뿐만 아니라 프로폴리스 추출물과 페퍼민트유, 유칼립투스유, 자일리톤과 죽염, 카렌듈라엑스, 몰약팅크 등 다양한 자연유래 성분이 들어있어 더욱 믿고 사용할 수 있었습니다. ^^
그리고 평림오일 치약에는 불소가 전혀 없었거든요?
사실 편도결석의 원인을 해소하기 위해서는 구강위생에 신경을 써야 하는데 불소도 좀 더 강하게 들어 있어야 하지 않을까라는 생각이 들더라고요.
그런데 불소는 자연계에 존재하는 천연원소로 충족 예방이 가능한 효과가 있는 것으로 알고 있었습니다.
하지만 만약 이것을 삼키면 구토나 복통을 유발하고 만 3세 미만의 어린이가 사용하게 되면
과도하게 노출되면 갈색으로 치아가 반정증상이 되어 구멍이 생겨 치아 불소증으로 이어질 수 있다고 합니다. (´;ω; ))
불소가 없어도 충치균을 없애는 성적서와 실험 결과가 있는 오랫동안 저는 이것을 대체하는 것이 가장 좋은 방법이라고 생각했습니다.
사용해보니 장점이 꽤 있었어요?
민트나 박하향이 나는 기존 치약과는 달리 편백나무 향이 많고 거품이 덜 나는 것에 대해 불편함이 조금 있을 수 있지만 그 정도로 거품을 내는 계면활성제가 없다는 부분을 고려해서 생각하면 좋은 사용법이 되거든요!
평림오일 안에 피톤치드 성분이 함유되어 있다는 것도 저는 굉장히 만족스러웠습니다.(웃음)
항균효과와 항균효과가 존재해서 제가 찾던 편도결석의 원인을 해소할 수 있는 유일한 방법이라고 생각했어요!
특히 염증이나 충치균에 효과가 있어 약한 치아에 충치균이 생기기 쉬운 분들에게는 더욱 적합한 제품입니다!
입냄새를 유발하는 세균을 억제시키는 장점이 있고, 임취와 입냄새 케어도 가능하기 때문에 대화를 많이 하면서 상대방과 소통하는 직업이라면 좀 더 예쁜 인상을 전해주지 않을까 생각했습니다.(웃음)
그리고 양치질을 한 후에 건조함이나 답답함이 느껴져서 불편함에 익숙하신 분들은 모르실 수도 있겠지만 저는 항상 불편함이 컸어요(눈물)
그런데 그 이유는 유해물질이나 계면활성제 때문이래요!
치약을 교환해준 후 상쾌함이 오래 유지되고 식욕이 없다는 사실에 상당히 놀랐습니다!!
처음 구매했을 때는 편도결석을 주원인으로 해결하려고 사용했는데 일반 치약보다 조금 금액대는 있어도 한번 써보려고 아무 생각 없이 구입한 것입니다.
사실 비용적으로는 부담스러울 수 있지만 쓰다 보면 다른 치약보다 한 번 양치할 때 필요한 양이 작아서 오히려 저는 합리적으로 잘 샀다는 생각이 들었습니다.
그리고 3+1, 4+2 이벤트까지 하고 있어서 이런 부분에서는 가성비가 좋더라고요. (웃음)
아무래도 온라인으로만 구매할 수 있는 불편함은 있지만 오히려 요즘 어디 방문해서 구매하기가 싫어서 이게 더 낫겠다는 생각이 컸어요. ^^
치약뿐만 아니라 입안을 깨끗하게 하기 위해서는 혀 클리너도 필요한데, 혀 브러쉬라고 구강 세균 번식 예방과 촘촘한 털로 불규칙한 혀 둘레에 맞춘 발쉬 타입 제품도 함께 판매 중이므로 함께 사용하시는 것도 좋습니다.
설솔은 생분해 환경에 좋은 제품이기 때문에 백태를 긁는 방법이 아니라 혀 주위에 있는 백태를 꼼꼼하고 깨끗하게 제거해주기 때문에 치약을 묻혀 사용하면 시너 효과가 대단한 제품입니다. ~~
이렇게 계속 사용하면 이비인후과를 방문하여 제거할 필요가 전혀 없고, 그동안 불편하고 불쾌했던 부분을 생활 속에서 계속 사용해 해소할 수 있다는 것이 너무 신기했습니다. ^^
항균력이 높은 치약을 사용하게 되므로 구강위생관리도 조금 더 잘 할 수 있는 기분이라 앞으로는 더 자주 이용하려고 합니다!!
만약 저처럼 고민이 많으신 분들이 있다면 한번 사용만으로도 쾌적한 입안의 환경과 입냄새, 입안의 세균에 대한 걱정이 사라질 것 같아요!!
예전에는 양치 후 시원치 않은 느낌이 싫어서 마우스 스프레이까지 사용했는데 지금은 그런 점이 없어서 양치만으로도 편안하고 비용적으로 절약할 수 있어서 너무 만족스럽습니다. ^^
[WOORIZ] 당신 곁 어디든지smartstore.naver.com