임신 12주-1차 정밀 초음파&기형아 검사 쿠폰, 갑상선 기능 저하증, 비타민D 부족, 심한 두통…. 총체적 난국인 12주차

가끔 친정엄마가 하루정도 큰딸을 돌봐주면 집이 더러워도 침대에 하루종일 누워있고… 난 정말 게으르다며 자책했는데

왜 8주차 피검사 결과 갑상선기능저하증인지 손발이 시리고 목도 잘 쉬고 피곤한데 의욕도 없었다니…그래도 저하증 증상인 체중증가는 없었기 때문에 눈치채기 어려웠을 것 같습니다.

[임신 12주차 검사와 증상]1. 1차 정밀 초음파 & 통합 선별 검사 2. 임산부 갑상선 기능 저하증 약 복용 3. 임신 중 심한 두통과 타이레놀 복용 4. 비타민 D 부족

1.1차 정밀초음파&통합선별검사 임신 12주차는 중요한 시기로 아이가 많이 커져 배 초음파가 가능해져 1차 정밀초음파검사와 통합선별검사를 하게 됩니다.

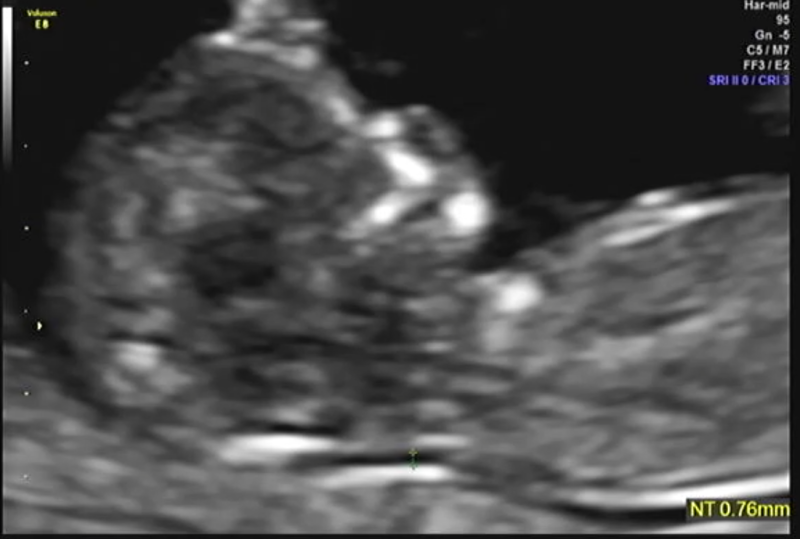
정밀초음파는 1차(10~13주), 2차(20~21주)에 시행되는데, 1차 정밀초음파 검사: 태아목 투명대(NT) 두께 측정으로 태아의 염색체, 심장에 이상이 있는지 확인합니다.보통 2.5mm 미만이 정상입니다(목투명대란 아기를 둘러싼 차양막에서 목까지의 빈 부분입니다.)

2차 정밀 초음파 검사 : 태아의 성장(외형, 내부 장기 등)을 파악합니다.분만일 기준 만 35세 이상 산모, 이전에 염색체 이상이 있는 아이를 임신했던 산모 등 위험군이 아니라면 보통 통합선별검사, 1차 2차 산모의 혈액검사를 통해 다운증후군 등 이상 유무를 파악합니다.하지만 직접 태아의 염색체를 확인하는 방법이 아니기 때문에 진단률은 90~94%로 진단을 놓칠 가능성이 5~10%가 됩니다.

정확하게 태아의 염색체를 직접 확인하고 싶다면 NIPT, 양수검사를 통해 진단률을 95~99%, 99.9%까지 높일 수 있습니다.가격은 제가 다니는 병원 기준 ▶통합선별검사는 10만원, ▶NIPT는 55만원(여기서 이상이 발견되어 양수검사시 65만원 추가) ▶양수검사는 20만원으로 정말 부드러운 가격임에 틀림없습니다…통합선별검사를 실시할 때 실제로 태아에 이상이 없지만 결과로 이상이 의심된다고 나오면 NIPT 등 더 정확한 검사를 받아야 하기 때문에 태아가 정상이라도 65만원을 사용할 수 있게 되는 것입니다.

보건소에 가면 1, 2차 기형아 검사 쿠폰을 나눠주어서 도움이 됩니다.1차 기형아 검사 쿠폰은 초음파 검사비만 지원해주므로 약 2만원 절약이 가능하며, 2차 기형아 검사는 쿼드 검사가 무료로 가능합니다.

2. 임산부 갑상선기능저하증약 복용

8주차 정도 혈액검사 결과 갑상선 기능 저하가 나왔는데 남편의 지방출장을 같이 갔기 때문에 지방내과에서 갑상선약 처방을 위한 여러 수치 확인을 위해 혈액검사를 다시 시작했습니다.처음에는 산부인과에 갔지만 갑상선은 내과에서 검사하고 제가 다니던 병원은 큰 병원이었기 때문에 같은 건물에서 검사를 받을 수 있었습니다.갑상선자극호르몬(TSH) 정상 수치는 0.27~4.2uU/ml(병원마다 다르다고 합니다) 재검사 결과 정상 수치보다 약간 높은 4.9 정도이며 내과에서는 이 정도는 약을 먹지 않아도 됩니다! 그래서 안심하고 있었는데..

12주차 검사에서 다시 원래 병원에 갔더니 임산부의 갑상선 호르몬 기준 수치는 다르다는. 충격적인 사실을 알게 되었습니다. 임산부의 갑상선 수치는 아기에게 나눠주기 때문에 정상보다 낮은 수치를 기준으로 하는데 자가항체가 있으면 <2.5 자가항체가 없으면 <4.0 이렇게 되면 저는 무조건 약을 복용해야 한다고 합니다.내과에서 먹지 않아도 된다고 해서 안심하고 있었거든요. 눈물)

이 약은 아기에게 갑상선 호르몬을 충분히 주기 위한 것으로 전혀 문제가 없다고 합니다.하지만 앞으로 출산까지는 복용해야 합니다. ㅠㅠ 검사는 갑상선자극호르몬의 변동폭을 알아야 약 처방이 가능하므로 2차 혈액검사에서 변동폭을 확인해야 합니다.

복용 방법은 갑상선저하증 약의 유일한 단점이 약 흡수가 잘 되지 않아 무조건 공복인 아침에 물과 함께 먹고 복용할 경우 약 1시간은 공복을 유지해야 하며, 그동안 커피, 차, 주스, 우유 등은 안됩니다.다른 철분제나 비타민제는 점심 식사 후에 드셔야 합니다.

3. 임신중 심한 두통과 타이레놀 복용

그리고 입덧과 함께 정말 심한 두통이 여러 번 반복됐는데 하루 종일 지속되는 게 아니라 참고 이겨냈는데 임신 중 타이레놀 500ml 3알까지는 복용이 가능하다고 합니다.실제로 두통이 심하다고 해서 처방해달라고 물어보셨어요.

갑상선 약을 먹고 그날 깨질 것 같은 두통으로 고생했는데 갑상선 약의 부작용이 아니라고 하셨어요.제가 기사를 검색해보니 타이레놀이 태아에게 미치는 나쁜 영향이 있다고 합니다.웃으면서 그런 건 전혀 없으니까 안심하고 먹으라고 하셨어요. ㅜㅜ 복용시 주의할 점은 두통이 일어나자마자 먹으면 효과가 있다고 합니다. 끙 앓아 먹어도 소용없다고 하셨으니 안심하고 드세요!

두통의 원인을 여쭤봤는데 보통 첫째 어머니들은 입덧이 심하거나 그로 인해 체중이 늘지 않으면 두통이 생긴다고 합니다.또 잠을 잘 못 자거나 호르몬 변화 등으로 생길 수 있다고 합니다.

저는 관자놀이 주위를 꾹 눌러줬더니 효과가 있더라고요.

4. 비타민D 부족

아니… 뭐가 이렇게 난리인지. ㅋㅋ 갑상선 기능 저하에 두통, 비타민D까지 부족합니다. ㅋㅋㅋㅋㅋㅋ이 정도면 파티네요. ㅋㅋㅋ 입덧과 두통이 심했던 지난 두달동안 거의 집을 안나오면 동굴에서 살았던 사람과 비슷한 수치인지….ㅋㅋㅋㅋ 30~100이 정상인데 11이 나왔어요. 하하하하하하하하하하하하하하하하하하하하하하하하하하하하하하하하하하하하하하하.

선생님이 놀라서 비타민D를 먹으라고 했어요.비타민D를 구입하면서 저에게 맞는 복용량도 확인해봤는데 수치에 따라 먹는 양과 액체/알약으로 나뉘었어요.부족한 수치이기 때문에 액상으로 구입하여 밥을 먹을 때 3방울씩 떨어뜨리고 있습니다.

큰딸 키우는 엄마들은 어쩔 수 없는 것 같아요. ㅎㅎ 다들 힘내서 무리하지 마세요.

error: Content is protected !!