
자주보는 안과 이태윤 원장 안녕하세요 대구를 즐겨보는 안과 이태윤입니다.
제가 지금까지 녹내장, 백내장 수술을 같이 한 분 중에 이번에는 특히 백내장 수술이 어려웠던 분이었습니다.
백내장 수술을 중심으로 증례를 보여드리겠습니다.
약 1개월 전 왼쪽 기슭에 급성 녹내장 발작이 있었던 분입니다.
다른 병원에 다녔는데 계속 왼쪽 기슭이 보이지 않아서… 그쪽 병원에서는 방법이 없다고 해서 저희 병원에 오신 분이셨어요.
처음 오셨을 때 시력이 0.1을 못 보셨고
안압은 21mmHg으로 다소 높습니다.


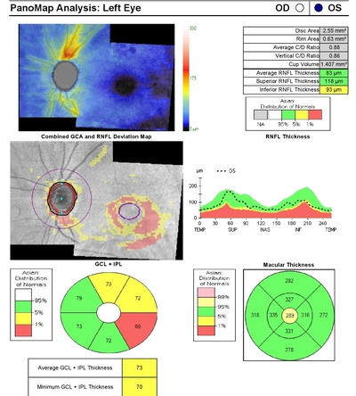
자주 보는 안과 OCT(오른쪽), 시야검사(왼쪽) 그러나
구조적인 검사(OCT)와 기능적인 검사(시야검사)상 다행히 신경이 크게 나빠지지 않았습니다. ~
급성 녹내장인 분은 대부분 각막 내피 세포 기능이 저하되어 있습니다.
확인하지 않고 수술하면 수술 후 검은 눈이 부어 각막이식을 고려해야 할 수도 있습니다. ㅜㅜ

흔히 보는 안과 각막 내피세포검사(좌안) 이분은 다행히 세포수도 ‘1703’개로 다소 적지만 수술을 못할 정도는 아니었습니다.
더 신경 써서 수술했어야 했어요.

시유발전 정도도 검사시에 신경의 전기적인 기능을 확인하는 검사!!
왼쪽 눈의 파형이 오른쪽과 비슷하지만 왼쪽 눈의 파형이 평평해지면 시력이 개선될 가능성이 없을 확률이 높습니다.ㅠ
그래도 다행히 다행히
정상적인 오른쪽 눈과 동일하게 나왔어요.
이상의 자세한 검사를 바탕으로 환자에게 수술을 하면 시력 개선이 가능하다는 것을 설명하고,
녹내장, 백내장 수술을 동시에 시행했습니다.~
대구 흔히 보는 안과 백내장 수술(형체소대 약화로 백내장 제거 후 구조지지대 삽입)
예상대로 수정체 주변 조직이 너무 약해서 수술이 힘들었지만 무사히 마쳤습니다.

흔히 보는 안과 급성 녹내장 수술 후 상태(백내장 및 녹내장 수술)
수술한 지 두 달
지금 최대 교정시력 0.8
안압도 12입니다.~~
저도 환자가 현재까지 만족하고 행복해하는 모습에 보람있고 더 발전하고 싶습니다. ^^
만약 잘 보이지 않아서 눈이 걱정된다면!! 자주 보는 안과로 오세요. ~
대구 분야별 백내장, 녹내장, 황반변성 당뇨망막 안검하수 드림렌즈 소아안과 www.자주 보는 안과.com
