줄기 결절/간내 결절-우리 최선 내과-특별한 이상이 있는 경우가 아닌 이상, 보통 건강 진단 등을 통해서 복부 초음파 검사를 하고 보고 발견할 많은 것의 하나가 줄기 결절입니다.줄기 결절 소견을 받은 사람이면 줄기 결절과는 어떤 질환인지부터 알아보게 될 거예요. 질환의 특징이나 증상도 중요하지만 우선 확인하는 것 중의 하나가 건강에 문제가 있는지요.그래서 간헐 때는 우리 몸에 어떤 영향을 미치는지 먼저 이야기하면 대부분의 경우 특별한 증상을 보이지 않고 양성의 경우가 많아 동안 초음파로 간결함 마디가 발견됐다고 해도 걱정할 필요는 없습니다.그러나 간결 절에서 발견된 것 중에는 CT검사 같은 정밀 검사가 필요한 경우도 있으므로 복부 초음파 및 CT검사를 통해서 정밀 검사를 벌이고 있는 우리 베스트 내과에서 간결 마디(간내 결절)을 발견한 경우 CT검사가 필요한 경우에 관한 내용까지 자세히 안내하겠습니다.
![]()
복부 초음파 검사에서 발견되는 간헐절
복부 초음파 검사에서 발견되는 간헐절

간결절은 간내결절 또는 가장 일반적인 형태인간혈관종 등으로 불립니다.결절은 보통 종괴 또는 덩어리를 뜻하는 것이고 간결절은 간에 생긴 덩어리라고 생각하시면 됩니다.거의 증상이 없어 건강검진, 초음파검사에서 우연히 발견합니다. 간헐절이 발견된다 하더라도 대부분 무증상, 이후 특별한 치료가 필요 없고,
또한 증상이 없으므로 특별한 치료를 진행하거나 크기 등을 크게 고려하지 않아도 됩니다.

간헐절 초음파 검사 요시코시 / 사에코
간헐절 초음파 검사 요시코시 / 사에코

초음파 검사에서 발견되는 간헐절은 고에코, 조에코 등으로 표기되는데, 이는 결절이 초음파상 어떻게 보이는지를 표현하는 것으로 질환의 진단명이 아닙니다.고에코는 초음파에서 간 실질 부분보다 밝아 보이는 것을 말하며 저에코는 어두워 보이는 것을 의미하는 것으로 에코의 상태에 따라 더 많은 비중을 차지하는 질환이 있지만 절대적인 기준이 되는 것은 아닙니다.
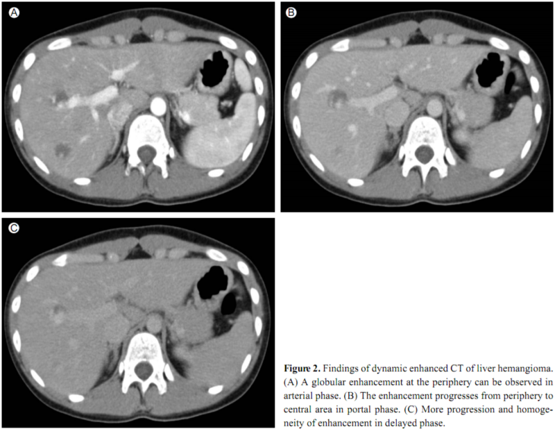
초음파 시 고에코 간내결절은 대부분 간혈관종초음파 시 고에코 간내결절은 대부분 간혈관종초음파에서 고에코 형태로 확인되는 간내결절은 대부분 간혈관종으로 간주됩니다.간혈관종은 간에 있는 모세혈관이 뭉쳐서 덩어리를 만든 형태의 종괴로 일종의 혈관 기형이라고도 할 수 있습니다.대부분 양성으로 암을 걱정할 필요가 없는 상태라고 할 수 있고 간결절에서 발견되는 대부분은 간혈관종인 경우가 많습니다.즉, 간혈관종으로 알려진 간결절이라면 별도 정밀검사 또는 조직검사 등을 하지는 않지만 크기 등의 변화가 있는지 등을 주기적으로 확인해 양성결절임을 꾸준히 확인해야 합니다.CT 검사를 실시해야 하는 간헐절(간혈관종)CT 검사를 실시해야 하는 간헐절(간혈관종)간결 때는 대부분 양성, 크기에 관계 없이 무증상의 경우가 많아 크게 걱정하지 않아도 좋다고 말씀 드렸습니다.그러나 문제는 증상이 나타나거나 크기에 변화가 발생한 경우, 그리고 초음파 검사 직후 그렇지만 바로 CT검사를 하고 볼 필요가 있는 경우가 있지만 간헐 마디의 모습이 초음파상 혈관종인지 악성 종양인지 명확히 확인하기 어려울 때입니다.복부 CT검사를 이용하면 정밀 검사가 가능하며 간헐 마디가 양성인지 악성인지를 확인할 수 있습니다.또, 간결 마디의 추적 관찰 중에 결절의 크기가 커지는 등의 변화가 나타나면 악성 여부 정밀 검사가 다시 필요하므로 CT검사가 필요합니다.만성 감염, 간 경변증, 간 암의 환자는 줄기 혈관 종양이나 종양의 악성 유무 등의 감별이 더 어려운 경우가 있으므로 CT검사로 정확한 진단을 받는 것이 좋습니다.또 간내 결절이 줄기 혈관종의 경우는 무증상인데 간이 있는 부위인 우상 복부에 통증이 있거나 부은 느낌인 팽만감 등이 있으면, 간결절 악성 종양의 유무를 확인하는 것이 아니라 주변의 다른 장기의 질환의 영향일 가능성이 있고 다른 질환에 대한 검사가 필요하게 되는 일이 있습니다.우리베스트내과 초음파와 CT검사를 이용한 간검사우리베스트내과 초음파와 CT검사를 이용한 간검사저희 베스트 내과에서 이용하는 초음파와 CT 기기를 소개해 드리겠습니다.우리베스트내과 초음파 기기는 프리미엄 초음파로 스캔 시간을 줄이고 미세 병변 측정이 가능해 간경변증 및 간종양(간암) 진단에 정확도를 높일 수 있습니다.저희 베스트내과 CT는 64채널 128슬라이스로 병변 위치를 정확히 파악할 수 있으며 고해상도 결과를 보여 미세 병변 진단이 가능합니다.진단의 정확도는 신속한 질환 확인을 통한 신속한 치료가 가능하다는 것을 의미합니다.본 베스트내과에서 간 건강관리 및 초음파와 CT검사 등 영상기기로 정밀검사를 받으실 수 있습니다.간검사 및 건강검진, 초음파, CT검사 우리베스트내과에서 검사를 받으려면 예약을 먼저 진행해야 합니다.예약방법(문의,상담포함)저희 베스트내과는 평일 오후 7시까지 진료하고 있습니다.저희 베스트내과는 평일 오후 7시까지 진료하고 있습니다.